Table of Contents
Washington University Experience | PERIPHERAL NEUROPATHY | 12 ANTI-MAG NEUROPATHY | 9C1A (Case 9) Nerve_007 - Copy
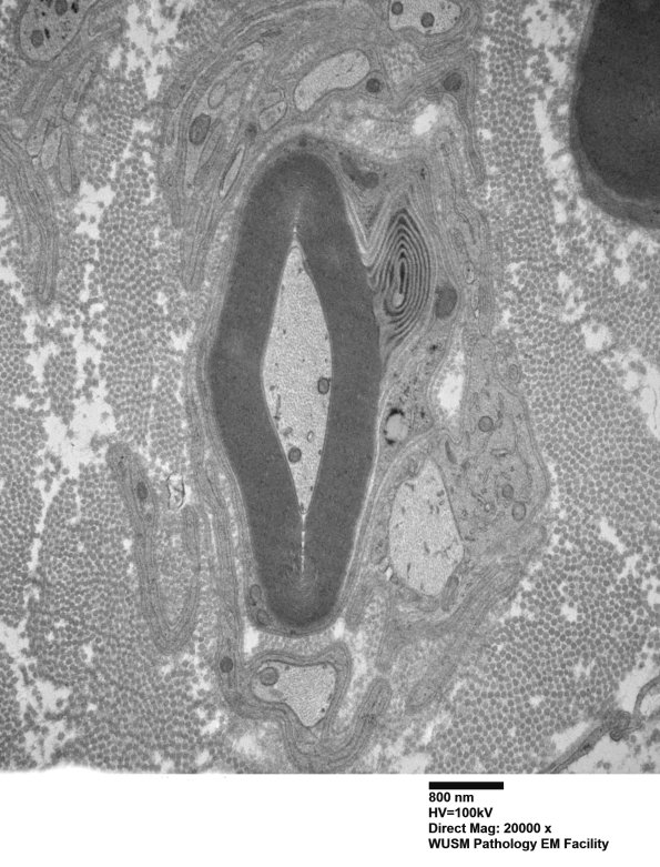
9C1A,B Here the Schmidt-Lanterman cleft is in correspondence to myelin change which is not compelling for WSM. (electron micrograph)
