Table of Contents
Washington University Experience | PERIPHERAL NEUROPATHY | 12 ANTI-MAG NEUROPATHY | 9C2A (Case 9) Nerve_025 - Copy copy
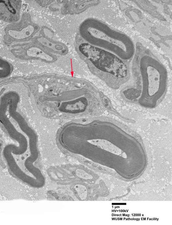
9C2A-C Other examples of WSM were encountered and were more compelling in this case. (electron micrographs)
