Table of Contents



Washington University Experience | PERIPHERAL NEUROPATHY | 12 ANTI-MAG NEUROPATHY | 9C2B (Case 9) Nerve_026 - Copy

9C2B (Case 9) Nerve_026 - Copy
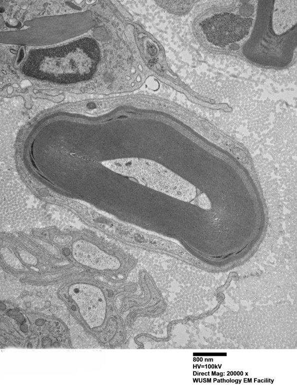
Other examples of WSM were encountered and were more compelling in this case. (electron micrographs)


Gallery RSS RSS Feed | Archive View | Login | Powered by Zenphoto