Table of Contents



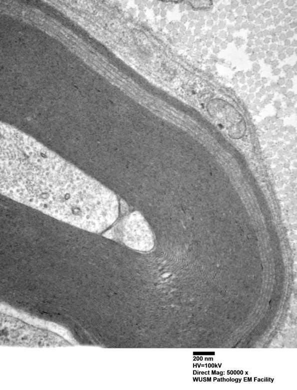
Washington University Experience | PERIPHERAL NEUROPATHY | 12 ANTI-MAG NEUROPATHY | 9C2C (Case 9) Nerve_027 - Copy

9C2C (Case 9) Nerve_027 - Copy
Other examples of WSM were encountered and were more compelling in this case. (electron micrographs)


Gallery RSS RSS Feed | Archive View | Login | Powered by Zenphoto