Table of Contents
Washington University Experience | PERIPHERAL NEUROPATHY | 12 ANTI-MAG NEUROPATHY | 9D1 (Case 9) Nerve_030 - Copy
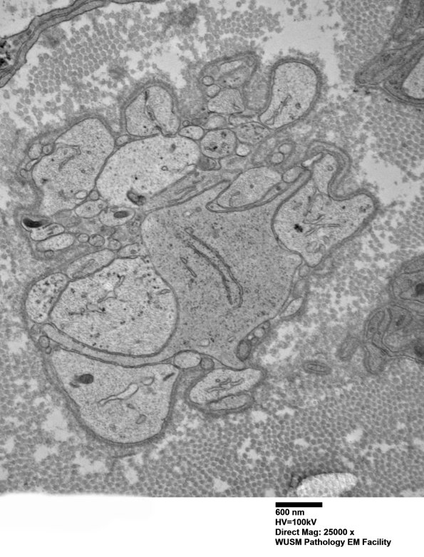
9D1,2 These are Schwann processes forming bands of Büngner. In some cases Schwann cells are enlarged and occasionally dilated with pale cytoplasm, mimicking demyelinated axons in plastic sections. (electron micrographs)
