Table of Contents
Washington University Experience | PERIPHERAL NEUROPATHY | 12 ANTI-MAG NEUROPATHY | 9D2 (Case 9) Nerve_005 - Copy
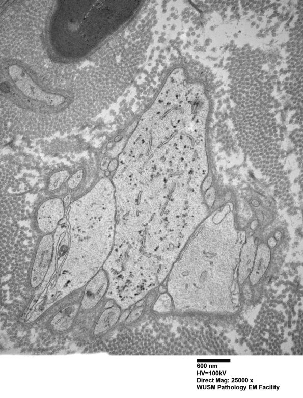
These are Schwann processes forming bands of Büngner. In some cases Schwann cells are enlarged and occasionally dilated with pale cytoplasm, mimicking demyelinated axons in plastic sections. (electron micrograph)
