Table of Contents
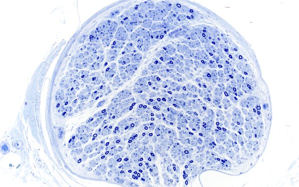
Washington University Experience | PERIPHERAL NEUROPATHY | 13 POEMS SYNDROME | 1A1 POEMS (Case 1) Plastic 20X 2
A low magnification image showing moderate loss of myelinated axons. (Toluidine blue stained one micron thick plastic embedded section = “Plastic section”)
