Table of Contents
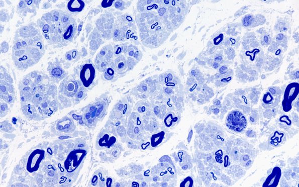
Washington University Experience | PERIPHERAL NEUROPATHY | 13 POEMS SYNDROME | 1A2 POEMS (Case 1) Plastic 100X 9
The most striking feature was loss of large and small (L>S) myelinated axons and axonal degeneration. (Plastic section)
