Table of Contents
Washington University Experience | PERIPHERAL NEUROPATHY | 13 POEMS SYNDROME | 1A4 POEMS (Case 1) Plastic B 100X 4 copy
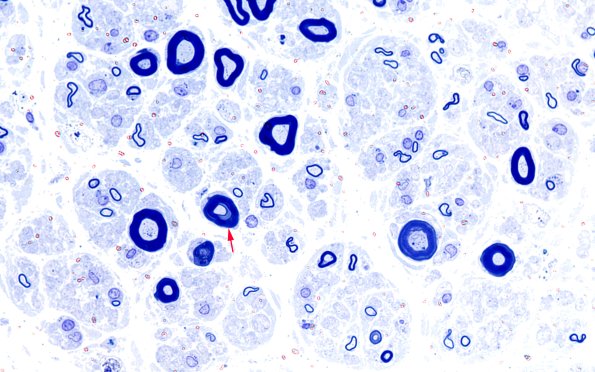
An axon (arrow) with overall prominent myelin may have internal myelinopathy adjacent to the axon. (Plastic section)
