Table of Contents
« prev
next »
Washington University Experience
|
PERIPHERAL NEUROPATHY
|
13 POEMS SYNDROME
|
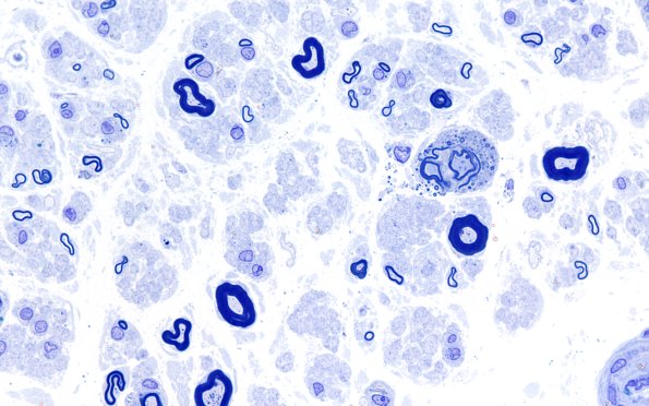
1A5 POEMS (Case 1) Plastic B 100X 11
Is this axon degenerating or demyelinating? (Plastic section)
Image Info
Camera Maker:
Olympus
Camera Model:
DP74
Shutter Speed:
46/1893 sec
Metering Mode:
Multi-Spot
Gallery RSS
|
Archive View
|
Login
|
Powered by
Zenphoto