Table of Contents



Washington University Experience | PERIPHERAL NEUROPATHY | 13 POEMS SYNDROME | 1B1A (Case 1) Sural_066 - Copy

1B1A (Case 1) Sural_066 - Copy
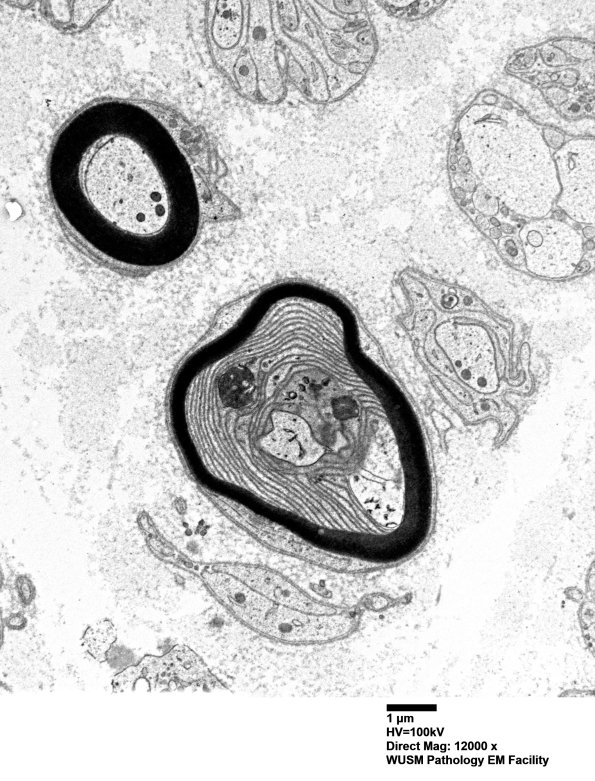
1B1A-E Multiple magnifications of a definitive axon with marked circumferential UCM. (electron micrographs)


Gallery RSS RSS Feed | Archive View | Login | Powered by Zenphoto