Table of Contents
Washington University Experience | PERIPHERAL NEUROPATHY | 13 POEMS SYNDROME | 1B2A (Case 1) Sural_034 copy - Copy
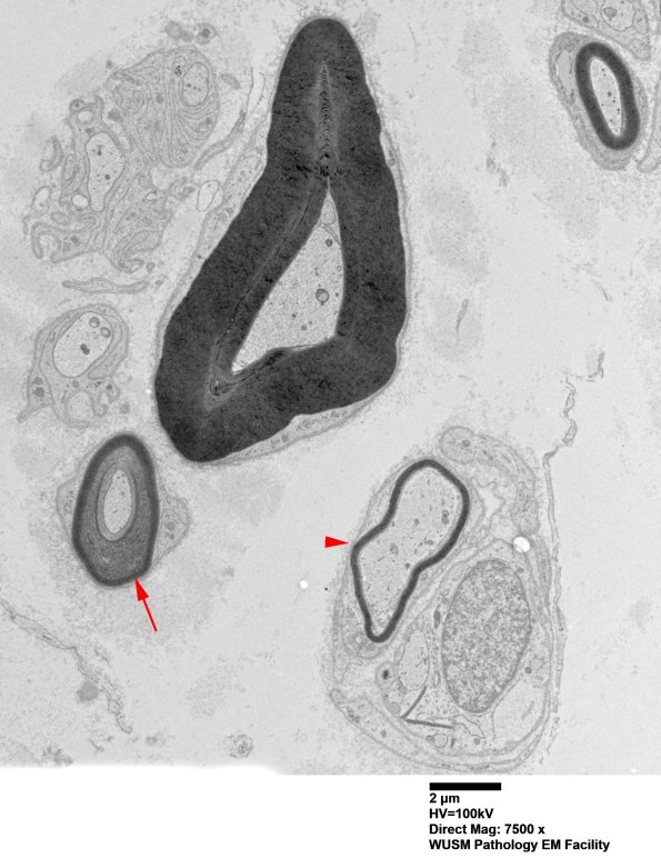
In this image there is normal myelin, a thinly myelinated axon (arrowhead) and an axon with prominent UCM (arrow) (electron micrograph)
