Table of Contents



Washington University Experience | PERIPHERAL NEUROPATHY | 13 POEMS SYNDROME | 1B4B (Case 1) Sural_025 - Copy

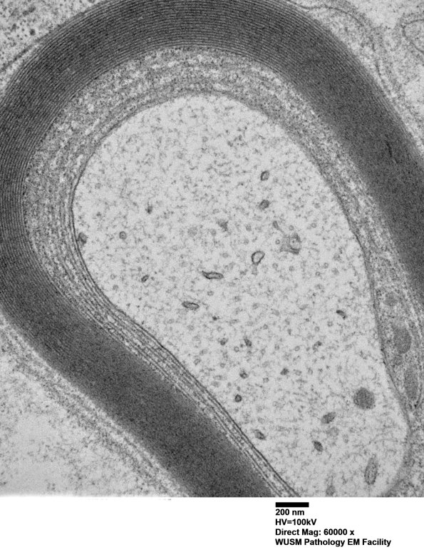
1B4B (Case 1) Sural_025 - Copy
The same process in a more limited distribution. (electron micrographs)


Gallery RSS RSS Feed | Archive View | Login | Powered by Zenphoto