Table of Contents



Washington University Experience | PERIPHERAL NEUROPATHY | 13 POEMS SYNDROME | 1B5 (Case 1) Sural_065 - Copy

1B5 (Case 1) Sural_065 - Copy
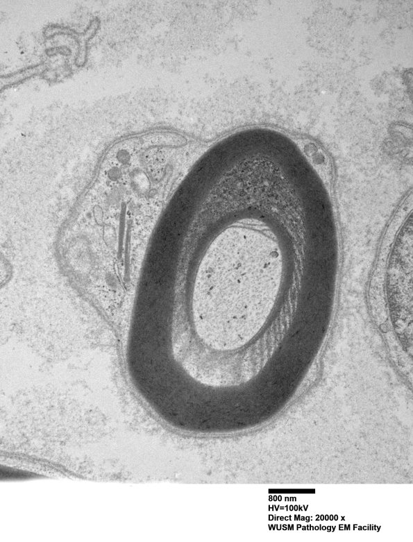
Similar changes surrounded by intact myelin on both sides. (electron micrograph)


Gallery RSS RSS Feed | Archive View | Login | Powered by Zenphoto