Table of Contents



Washington University Experience | PERIPHERAL NEUROPATHY | 13 POEMS SYNDROME | 1B6A (Case 1) Sural_061 - Copy

1B6A (Case 1) Sural_061 - Copy
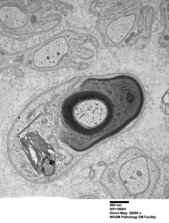
It appears that the angle of section in this axon hides the UCM. (electron micrographs)


Gallery RSS RSS Feed | Archive View | Login | Powered by Zenphoto