Table of Contents
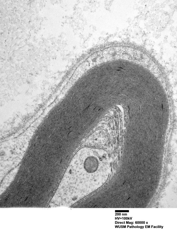
Washington University Experience | PERIPHERAL NEUROPATHY | 13 POEMS SYNDROME | 1C1 (Case 1) Sural_008 - Copy
1C Series of images. In this case POEMs type changes are limited and possibly mimicked by Schmidt-Lanterman clefts. By itself would these changes establish a POEMS case? ---- 1C1 Is it possible to confidently assign this UCM to the coexistent POEMS known for this case. (electron micrograph)
