Table of Contents



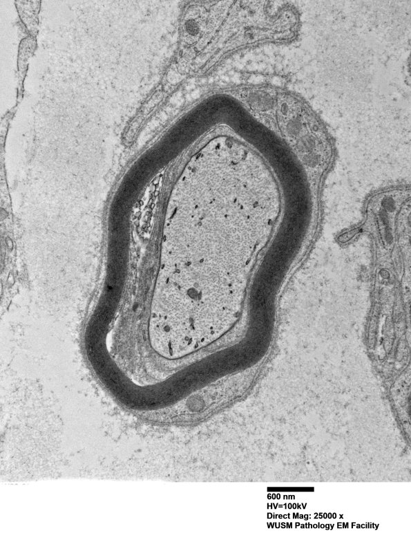
Washington University Experience | PERIPHERAL NEUROPATHY | 13 POEMS SYNDROME | 1C3A (Case 1) Sural_051 - Copy

1C3A (Case 1) Sural_051 - Copy
1C3A,B Another example of limited involvement in a case of established POEMS. (electron micrograph)


Gallery RSS RSS Feed | Archive View | Login | Powered by Zenphoto