Table of Contents



Washington University Experience | PERIPHERAL NEUROPATHY | 13 POEMS SYNDROME | 1C3B (Case 1) Sural_052 - Copy

1C3B (Case 1) Sural_052 - Copy
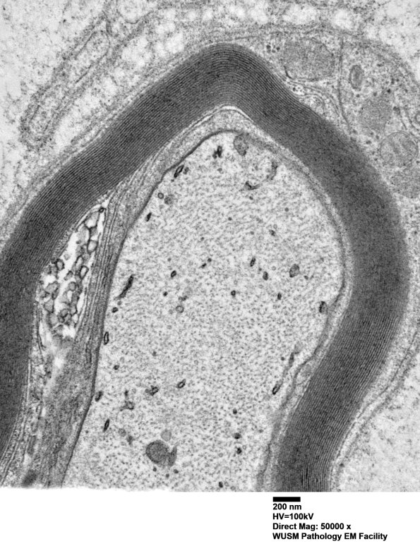
Higher magnification of image #1C3A. (electron micrograph)


Gallery RSS RSS Feed | Archive View | Login | Powered by Zenphoto