Table of Contents



Washington University Experience | PERIPHERAL NEUROPATHY | 13 POEMS SYNDROME | 1C4 (Case 1) Sural_057 - Copy

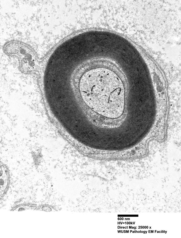
1C4 (Case 1) Sural_057 - Copy
Do axons like this merit special consideration as POEMS lesions? (electron micrographs)


Gallery RSS RSS Feed | Archive View | Login | Powered by Zenphoto