Table of Contents
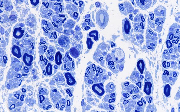
Washington University Experience | PERIPHERAL NEUROPATHY | 13 POEMS SYNDROME | 2B3 POEMS (Case 2) Plastic 100X 3
2B3,4 Degenerative changes are more consistent with axonal degeneration rather than demyelination. (Plastic sections)
