Table of Contents



Washington University Experience | PERIPHERAL NEUROPATHY | 13 POEMS SYNDROME | 2C1A POEMS (Case 2) EM 022 - Copy

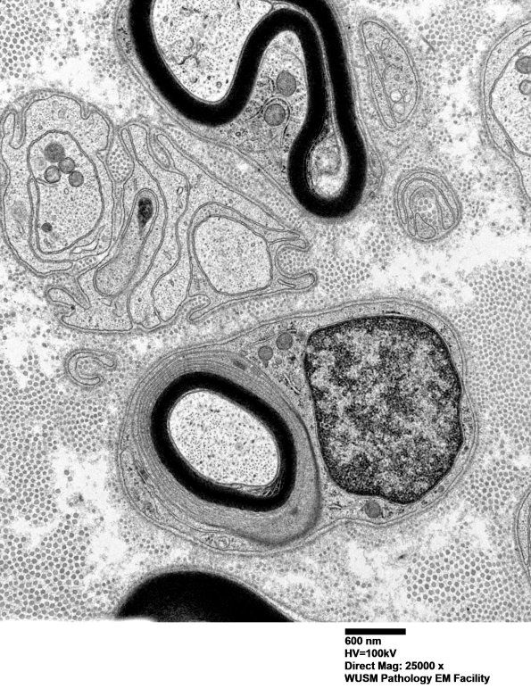
2C1A POEMS (Case 2) EM 022 - Copy
2C1A-C A well developed POEMS type lesion seen at three magnifications. (electron micrographs)


Gallery RSS RSS Feed | Archive View | Login | Powered by Zenphoto