Table of Contents



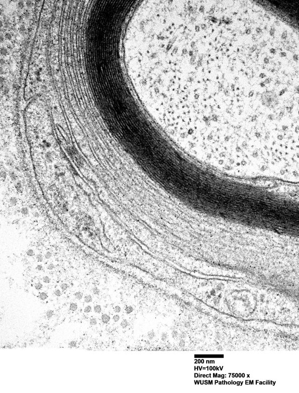
Washington University Experience | PERIPHERAL NEUROPATHY | 13 POEMS SYNDROME | 2C1C POEMS (Case 2) EM 026 - Copy

2C1C POEMS (Case 2) EM 026 - Copy
Higher magnification of image #2C1B. (electron micrograph)


Gallery RSS RSS Feed | Archive View | Login | Powered by Zenphoto