Table of Contents



Washington University Experience | PERIPHERAL NEUROPATHY | 13 POEMS SYNDROME | 2C2 POEMS (Case 2) EM 018 - Copy

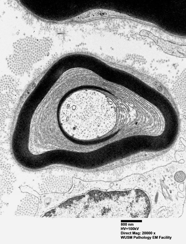
2C2 POEMS (Case 2) EM 018 - Copy
Additional examples of POEMS lesions in this patient. (electron micrograph)


Gallery RSS RSS Feed | Archive View | Login | Powered by Zenphoto