Table of Contents
Washington University Experience | PERIPHERAL NEUROPATHY | 13 POEMS SYNDROME | 3A1 POEMS (Case 3) EM 016 - Copy
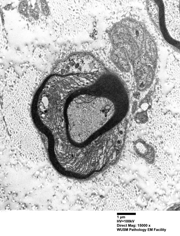
Case 3 History ---- The patient is a 51 year-old female with a past medical history of hypertension and primary demyelinating peripheral neuropathy associated with a paraprotein. Operative procedure: Left quadriceps muscle and sural nerve biopsies. ---- 3A1 Prominent uncompacted myelin in this patient with the differential diagnosis of anti-MAG neuropathy vs POEMS. The ultrastructural appearance is more consistent with uncompacted myelin of POEMS. (electron micrograph)
