Table of Contents



Washington University Experience | PERIPHERAL NEUROPATHY | 13 POEMS SYNDROME | 3A2A (Case 3) EM 026 - Copy

3A2A (Case 3) EM 026 - Copy
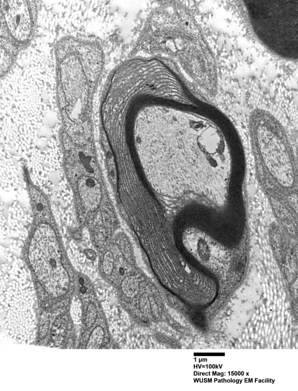
3A2A,B Patchy UCM envelopes much of the circumference of the axon. (electron micrographs)


Gallery RSS RSS Feed | Archive View | Login | Powered by Zenphoto