Table of Contents
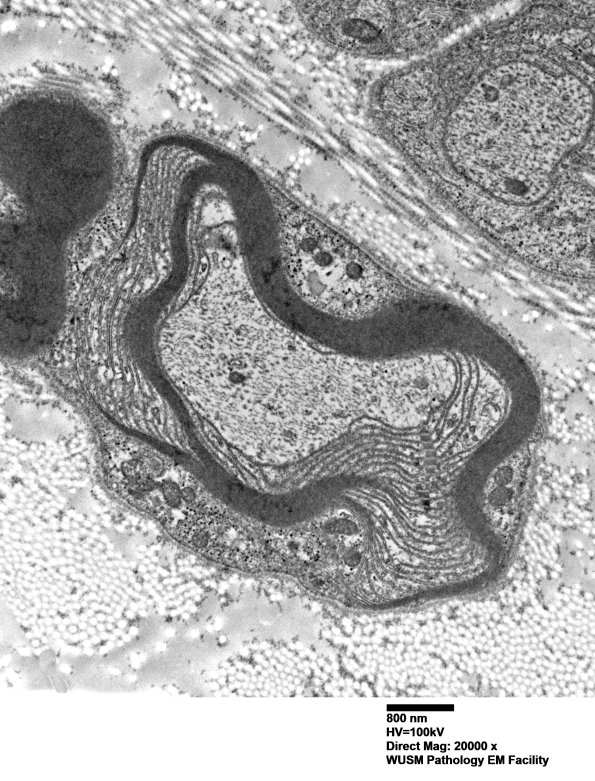
Washington University Experience | PERIPHERAL NEUROPATHY | 13 POEMS SYNDROME | 3A3A POEMS (Case 3) EM 002 - Copy
3A3A,B Much of the circumference is enveloped by UCM; however, the hemidesmosomes are unusual for UCM but may reflect a normal axonal substructure enveloped into the UCM. (electron micrographs)
