Table of Contents



Washington University Experience | PERIPHERAL NEUROPATHY | 13 POEMS SYNDROME | 3A3B POEMS (Case 3) EM 002 - Copy

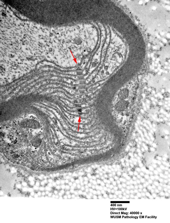
3A3B POEMS (Case 3) EM 002 - Copy
Higher magnification of image #3A3A. (electron micrograph)


Gallery RSS RSS Feed | Archive View | Login | Powered by Zenphoto