Table of Contents
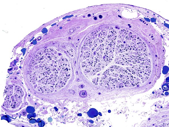
Washington University Experience | PERIPHERAL NEUROPATHY | 13 POEMS SYNDROME | 4A1 POEMS (Case 4) Plastic 5.jpg
4A1,2 The low magnification plastic section images show moderate loss of large and small myelinated axons. (Plastic sections)
