Table of Contents
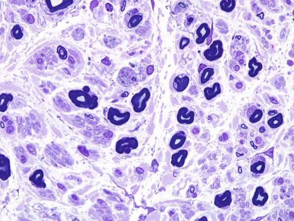
Washington University Experience | PERIPHERAL NEUROPATHY | 13 POEMS SYNDROME | 4A3 POEMS (Case 4) Plastic 100X 2.jpg
4A3,4 Higher magnification images show axonal degeneration and confirm the general loss of small and large myelinated axons.(Plastic sections)
