Table of Contents
Washington University Experience | PERIPHERAL NEUROPATHY | 13 POEMS SYNDROME | 4A4 POEMS (Case 4) Plastic 100X 1.jpg
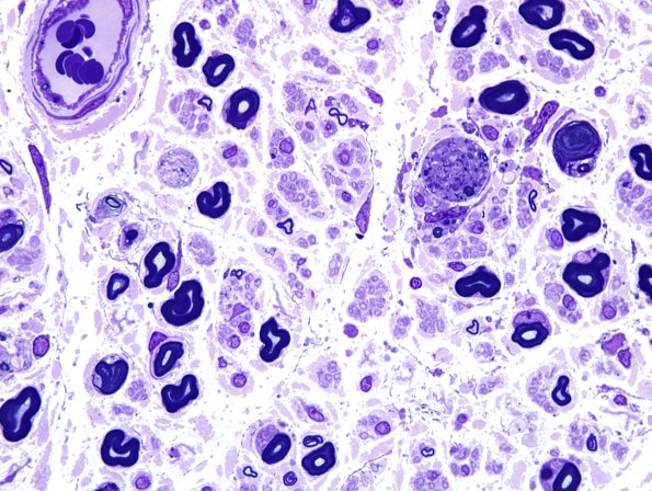
Higher magnification images show axonal degeneration and confirm the general loss of small and large myelinated axons.(Plastic sections)
