Table of Contents
Washington University Experience | PERIPHERAL NEUROPATHY | 13 POEMS SYNDROME | 4B1B POEMS (Case 4) 020A - Copy
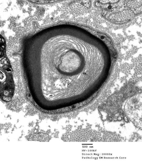
Several magnifications of the UCM in this lesion are demonstrated as well as a hemidesmosome like focus. (electron micrographs)
