Table of Contents
Washington University Experience | PERIPHERAL NEUROPATHY | 13 POEMS SYNDROME | 4B2A POEMS (Case 4) 005A copy - Copy
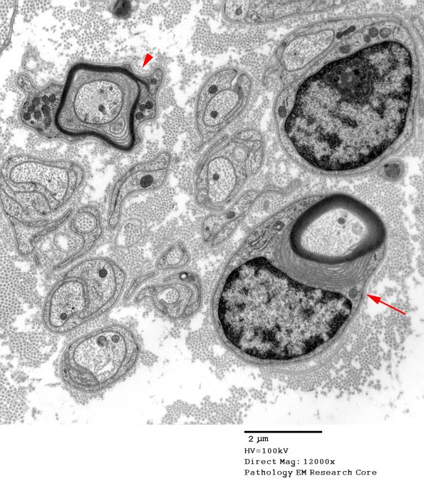
4B2A-C One compelling lesion is shown (arrow 4B2A). A second focus (arrowhead) may well represent a node of Ranvier as suggested by its dark axolemma. (electron micrographs)
