Table of Contents



Washington University Experience | PERIPHERAL NEUROPATHY | 13 POEMS SYNDROME | 4B3 POEMS (S05-3821) EM - Copy

4B3 POEMS (S05-3821) EM - Copy
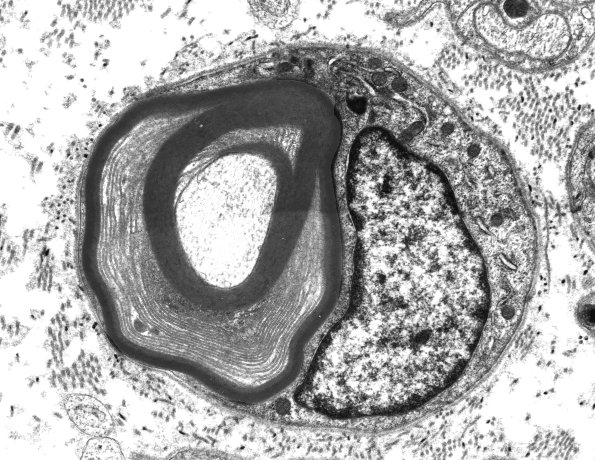
An additional lesion with prominent UCM. (electron micrograph)


Gallery RSS RSS Feed | Archive View | Login | Powered by Zenphoto