Table of Contents
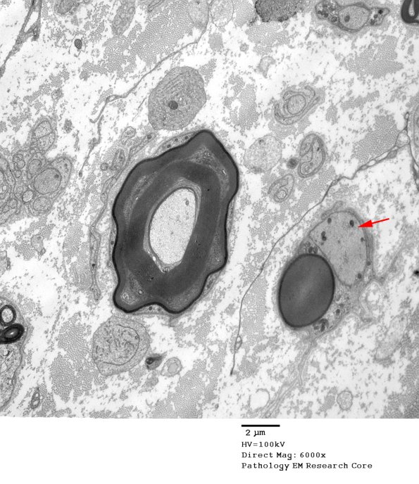
Washington University Experience | PERIPHERAL NEUROPATHY | 13 POEMS SYNDROME | 4C1A POEMS vs S-L Cleft (Case 4) 001 copy - Copy
4C1A,B In this case, although there is a completely demyelinated axon the other axon would be too borderline to call.
