Table of Contents
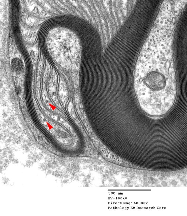
Washington University Experience | PERIPHERAL NEUROPATHY | 13 POEMS SYNDROME | 4C2C POEMS vs S-L Cleft (Case 4) 014 copy.jpg
I think this is a Schmidt-Lanterman cleft, a few microtubules (arrowheads, 4C2C) often occupy the Schwann cytoplasm in S-L clefts. (electron micrographs)
