Table of Contents
Washington University Experience | PERIPHERAL NEUROPATHY | 13 POEMS SYNDROME | 4C3 POEMS (Case 4) 003a NEAR NODE - Copy
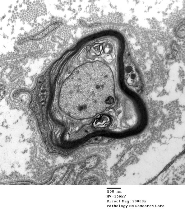
4C3 In this case the density of axonal organelles, especially cytoskeleton, and axolemmal thickening suggests this is a paranode adjacent to a node of Ranvier. (electron micrograph)
