Table of Contents



Washington University Experience | PERIPHERAL NEUROPATHY | 14 AMYLOID NEUROPATHY | 10B1 Amyloid NP (Case 10) Anti-transthyretin 1

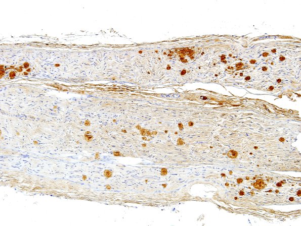
10B1 Amyloid NP (Case 10) Anti-transthyretin 1
10B1-4 In this case the amyloid was transthyretin mutation derived. (TTR IHC)


Gallery RSS RSS Feed | Archive View | Login | Powered by Zenphoto