Table of Contents



Washington University Experience | PERIPHERAL NEUROPATHY | 14 AMYLOID NEUROPATHY | 10B2 Amyloid NP (Case 10) Anti-transthyretin 5

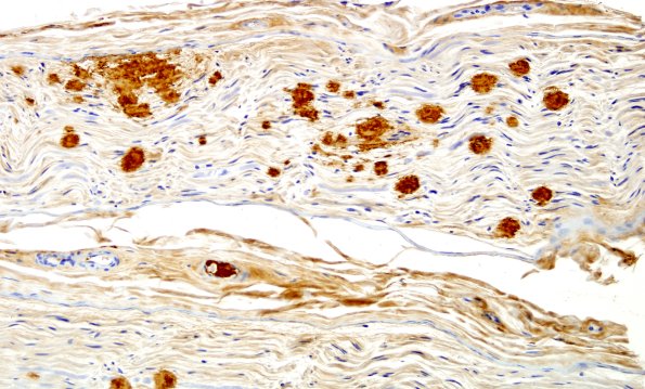
10B2 Amyloid NP (Case 10) Anti-transthyretin 5
In this case the amyloid was transthyretin mutation derived. (TTR IHC)


Gallery RSS RSS Feed | Archive View | Login | Powered by Zenphoto