Table of Contents



Washington University Experience | PERIPHERAL NEUROPATHY | 14 AMYLOID NEUROPATHY | 10B3 Amyloid NP (Case 10) Anti-transthyretin 6

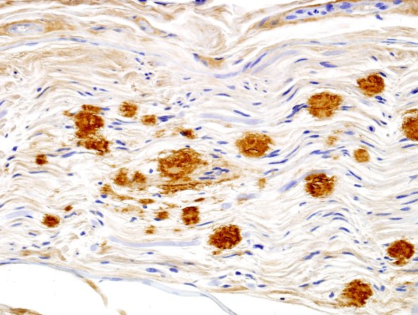
10B3 Amyloid NP (Case 10) Anti-transthyretin 6
In this case the amyloid was transthyretin mutation derived. (TTR IHC)


Gallery RSS RSS Feed | Archive View | Login | Powered by Zenphoto