Table of Contents
Washington University Experience | PERIPHERAL NEUROPATHY | 14 AMYLOID NEUROPATHY | 12A1 Amyloid Nephropathology (Case 12) EM 004 - Copy
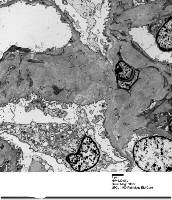
Case 12 History ---- The patient is a 62-year-old man with hypertension and Guillain-Barre syndrome. Operative procedure: Left native kidney biopsy. ---- The glomeruli show marked mesangial expansion and segmentally thickened capillary loops due to the presence of amorphous proteinaceous material that is PAS and silver negative. Focal amorphous proteinaceous material is observed in the arteries. Arteriolar hyalinosis is not seen. A Congo red stain was performed and shows diffuse amyloid deposits within the glomeruli, vessels, and interstitium. ---- 12A1,2 Amyloid deposition in the kidney. At higher magnification the amyloid width is 9-10nm. (electron micrograph)
