Table of Contents



Washington University Experience | PERIPHERAL NEUROPATHY | 14 AMYLOID NEUROPATHY | 13C2 Amyloid (Case 13) Congo Red 3

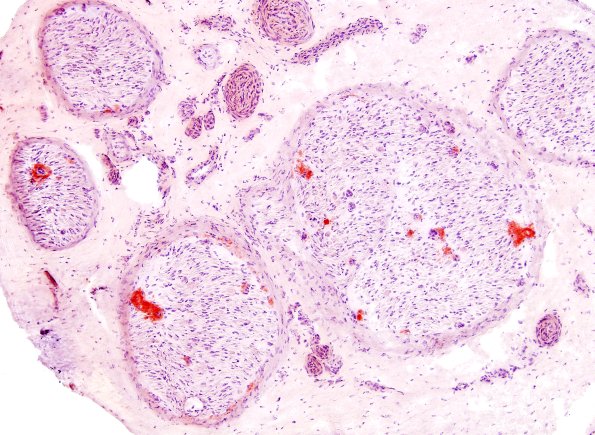
13C2 Amyloid (Case 13) Congo Red 3
Frozen section preparation typically results in a more substantial pattern of staining. (Congo red)


Gallery RSS RSS Feed | Archive View | Login | Powered by Zenphoto