Table of Contents
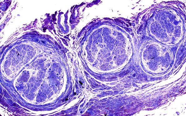
Washington University Experience | PERIPHERAL NEUROPATHY | 14 AMYLOID NEUROPATHY | 13D1 Amyloid Neuropathy (Case 13) Plastic 10X 1
13D1,2 One micron-thick, toluidine blue stained sections of the plastic embedded nerve show marked loss of large and small myelinated fibers, as well as endoneurial amyloid deposits. There is no evidence of active axonal degeneration or demyelination. (Plastic sections)
