Table of Contents



Washington University Experience | PERIPHERAL NEUROPATHY | 14 AMYLOID NEUROPATHY | 13E5 Amyloid Neuropathy (Case 13) EM - CopyB

13E5 Amyloid Neuropathy (Case 13) EM - CopyB
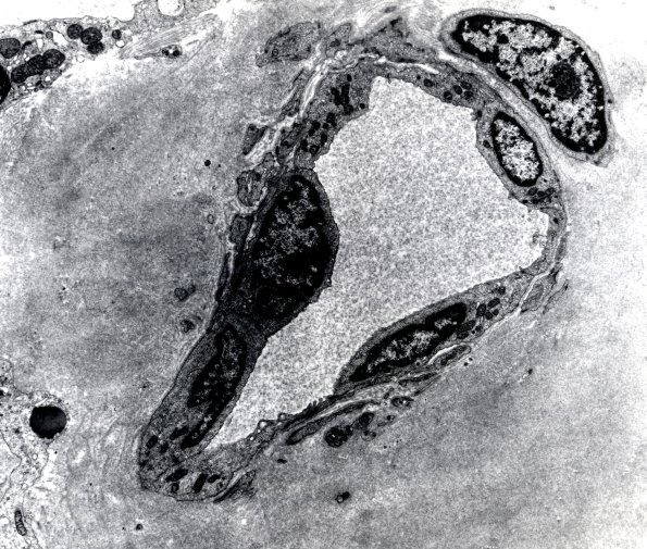
The perivascular amyloid around this vessel may be difficult to appreciate. (electron micrograph)


Gallery RSS RSS Feed | Archive View | Login | Powered by Zenphoto