Table of Contents



Washington University Experience | PERIPHERAL NEUROPATHY | 14 AMYLOID NEUROPATHY | 13E6 Amyloid Neuropathy (Case 13) EM 1500X - Copy

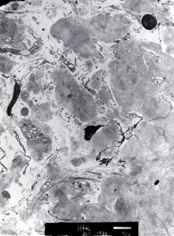
13E6 Amyloid Neuropathy (Case 13) EM 1500X - Copy
The endoneurium appears empty save for collagen, oxytalan and amyloid. (electron micrograph)


Gallery RSS RSS Feed | Archive View | Login | Powered by Zenphoto