Table of Contents
« prev
next »
Washington University Experience
|
PERIPHERAL NEUROPATHY
|
14 AMYLOID NEUROPATHY
|
14A2-Amyloid-neuropathy-Case-14-H-E-4.jpg
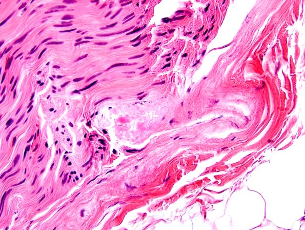
H&E show several foci of pale eosinophilic deposits in the sub-perineurial space. (H&E)
Image Info
Camera Maker:
Olympus Corporation
Camera Model:
DP70
Original Time Taken:
12-10-2015
Shutter Speed:
1/44 sec
ISO Sensitivity:
200
Metering Mode:
Spot
Gallery RSS
|
Archive View
|
Login
|
Powered by
Zenphoto