Table of Contents
Washington University Experience | PERIPHERAL NEUROPATHY | 14 AMYLOID NEUROPATHY | 14C-Amyloid-neuropathy-Case-14-Plastic-section-2.jpg
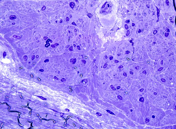
Plastic sections show severe loss of both large and small myelinated axons in all examined fascicles. There are a few axons that are thinly myelinated for axon caliber, an appearance consistent with axonal degeneration/regeneration. Perivascular amyloid deposits are shown. The overall findings are those of end stage neuropathy and are likely secondary to amyloidosis.(Plastic section) ---- Not shown: Sparse inflammatory cells stain with CD3 (T-lymphocytes) and CD68 (histiocytes), however CD20 is virtually negative. Neurofilament shows markedly reduced numbers of axons within the nerve fascicles.
