Table of Contents
Washington University Experience | PERIPHERAL NEUROPATHY | 14 AMYLOID NEUROPATHY | 15A2-Amyloid-Case-15-H-E-2.jpg
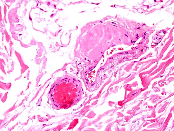
Large amorphous collections of amyloid are shown. (H&E) ---- Not shown: Plastic sections show nearly complete loss of small and large myelinated axons. Sections of the abdominal fat pad biopsy show mature fibroadipose tissue with blood vessels containing, focally, pale eosinophilic, amorphous, deposits within their walls which is further supported by thioflavin-S stain to be amyloid.
