Table of Contents
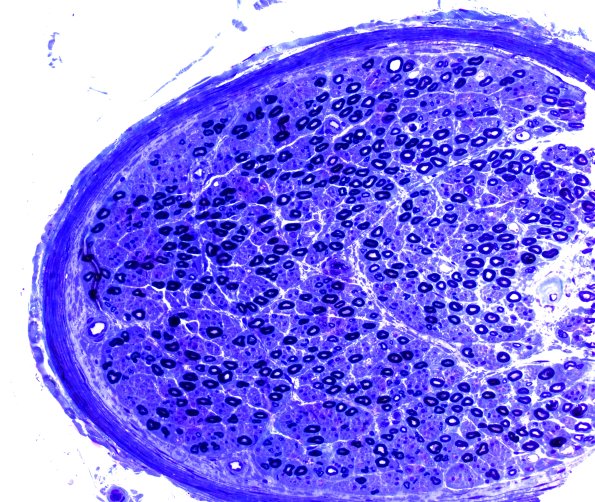
Washington University Experience | PERIPHERAL NEUROPATHY | 14 AMYLOID NEUROPATHY | 16A1 Amyloid neuropathy (Case 16) Plastic 20X
Case 16 No History ---- 16A1,2 Plastic sections show marked loss of small myelinated axons compared to large myelinated axons. (Plastic sections
