Table of Contents



Washington University Experience | PERIPHERAL NEUROPATHY | 14 AMYLOID NEUROPATHY | 18A2 Amyloid NP (Case 18) Plastic 7

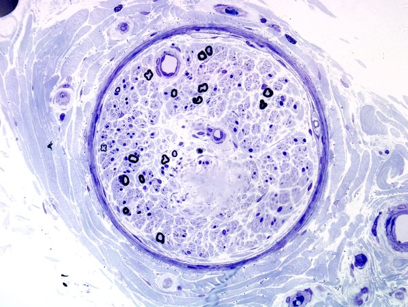
18A2 Amyloid NP (Case 18) Plastic 7
18A2,3 Amyloid in the endoneurium does not stain strongly in this case. (plastic sections)


Gallery RSS RSS Feed | Archive View | Login | Powered by Zenphoto