Table of Contents



Washington University Experience | PERIPHERAL NEUROPATHY | 14 AMYLOID NEUROPATHY | 18A3 Amyloid NP (Case 18) Plastic 4A

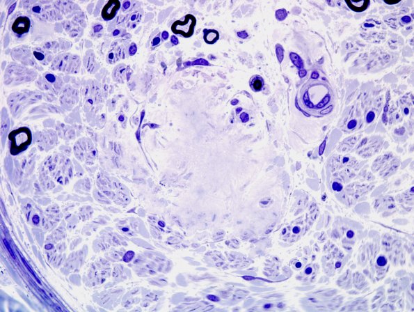
18A3 Amyloid NP (Case 18) Plastic 4A
Amyloid in the endoneurium does not stain strongly in this case. (plastic sections)


Gallery RSS RSS Feed | Archive View | Login | Powered by Zenphoto